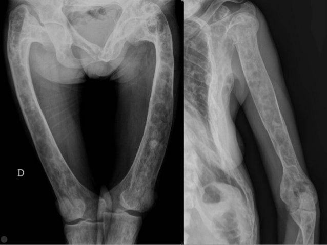
La displasia fibrosa è in medicina, una malattia ossea che si manifesta con uno sviluppo anormale dell'osso. Si sviluppa soprattutto nella costa.
Tipologia
Esistono le forme monostotica, dove viene coinvolto un osso solo e la forma poliostotica che invece si manifesta in più ossa, in tal caso si può osservare la sindrome di McCune-Albright.
Sintomatologia
La displasia raramente mostra sintomi risultando per la maggior parte asintomatico. Solo nelle forme più gravi si assiste durante la fase dello sviluppo ad una possibile zoppia, per via dell'accorciamento delle ossa, fino ad arrivare alla cosiddetta “bastone da pastore”.
Esami
Viene diagnosticato con una risonanza magnetica, ma se viene utilizzata è soltanto per verificare un altro danno all'organismo o in sede di controllo.
Trattamento
Nelle forme gravi il solo innesto osseo non comporta risultati definitivi, deve essere accompagnato ad altri trattamenti quali il curettage e osteotomia.
Bibliografia
- Walter B Greene, Ortopedia di Netter, Milano, Elsevier Masson srl, 2007, ISBN 978-88-214-2949-1.
Voci correlate
- Fibroma non ossificante
- Condroblastoma
- Osteocondroma
- Cherubismo
Altri progetti
- Wikimedia Commons contiene immagini o altri file su displasia fibrosa
Collegamenti esterni
- (EN) fibrous dysplasia, su Enciclopedia Britannica, Encyclopædia Britannica, Inc.




